Engelli şehit ve Gazilere Diş İmplant tedavisi
Engelli şehit ve Gazilere Diş İmplant tedavisi
Ali Akıllıoğlu ( 01.09.1968) muayene edilip, panoramik film çekilmiştir. Alt ön bölgedeki 4 kesici dişinin sallandığı tespit edilmiştir. Kalp hastası olduğu için doktorundan lokal anestezi altında cerrahi işlem yapılabilmesi için görüş alınmıştır. Alt dört keser dişi çekilip , yan keserler bölgesine iki adt 3,2 mm çapında implant yerleştirilmiştir. Şimdi implantların osseintegrasyonu için beklenmektedir.3 Ekim 2025te muayene edildi. 07 Ocak 2026 da implantlar yerleştirildi.
Ahmet Doğan ( 15.10.1972)
Hastanın sağ üst ve alt 1. büyük azı dişlerinin eksik olduğu tespit edilmiştir. Gerekli muayene ve tetkikler yapıldıktan sonra sağ üste 3.7 mm, sağ alta 4 mm çapında iki implant yerleştirilmiştir. Osteointegrasyon için beklenmektedir. 29 Eylül muayene 13 Ocak implantlar yerleştirildi.
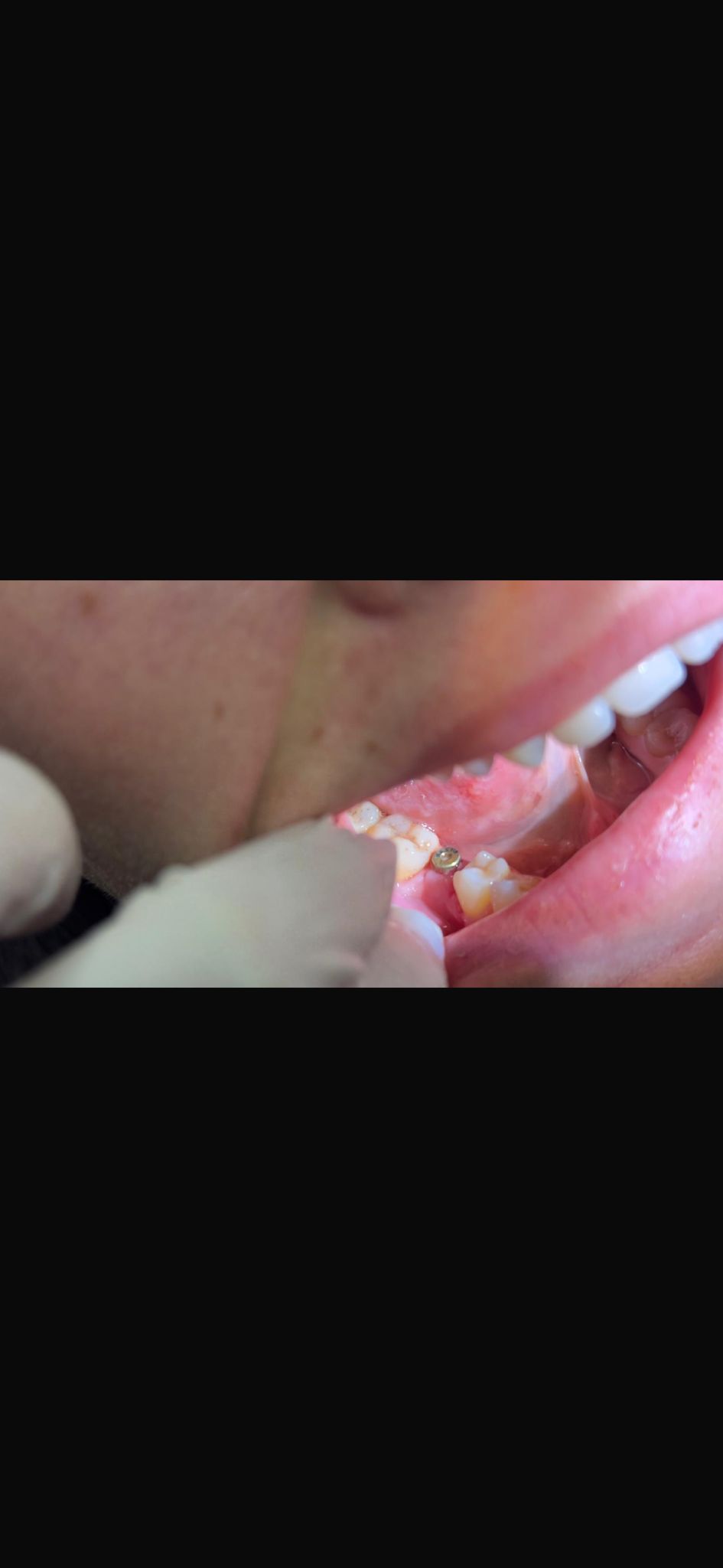
Nesrin Bat ( 01.02.1993) Muayene sonrası alt sağ 1. büyük azı dişinin eksik olduğu tesbit edilmiştir. Gerekli tetkikler sonrasında 3.7 mm çapında bir implant yerleştilmiştir. Osteointegrasyon için beklenmektedir. 29 Eylül Muayene 13 Ocak implant yerleştirildi.
Kulüp olanaklarımız ile 3 hastada 5 implant ve bunların üst ünitelerinin takılması sağlandı









